Костная мозоль при переломе лучезапястного сустава обычно начинает формироваться в течение 1-2 недель после травмы. Она проходит несколько стадий развития, начиная с менделевидной мозоли, которая со временем становится более плотной и организованной.
Полное заживление перелома и формирование полноценной костной мозоли может занять от 6 до 12 недель, в зависимости от тяжести травмы, возраста пациента и других индивидуальных факторов. Важно следить за процессом восстановления и при необходимости консультироваться с врачом.
- Костная мозоль формируется через 2-3 недели после перелома лучезапястного сустава.
- Начальная стадия заживления характеризуется образованием мягкой мозоли из соединительной ткани.
- Спустя 4-6 недель наблюдается переход к формированию более плотной костной мозоли.
- Полное заживление и восстановление структуры кости может занять от 3 до 6 месяцев.
- Факторы, влияющие на скорость заживления, включают возраст, физиологическое состояние и качество кровоснабжения.
Типы и причины формирования костной мозоли
Костная мозоль образуется по ряду причин:
- возрастные изменения;
- лучевая болезнь;
- избыточный вес;
- период беременности;
- с сифилисом;
- остеопороз;
- амилоидоз;
- общее истощение;
- низкий уровень белка в крови;
- туберкулез;
- расстройства эндокринной системы;
- авитаминоз.
Существуют различные виды мозолей:
- Периостальные (внешние). Они образуются после перелома кости и могут привести к быстрому заживлению.
- Интермедиальные. Эти мозоли образуются в промежутках между костными отломками, заполняя пространство сетью сосудов с высокой вероятностью успешного удаления.
- Эндостальные (внутренние). Формируются внутри клеток костного мозга.
- Параоссальные. Эта форма считается неблагоприятной. Мозоль возникает из мягкой соединительной ткани и заживает медленно, образуя значительную выпуклость.
Как выявить её наличие
Для диагностики данной патологии используются следующие методы:
- Рентгенография. Мозоль фиксируется на рентгене примерно через четыре недели после начала кальцификации; через три месяца после травмы она приобретает четкие контуры.
- КТ и МРТ.
Симптомы
В травматологической практике перелом запястья со смещением или без него может выглядеть практически идентично, и только с помощью дополнительного инструментального обследования можно будет уточнить, какая косточка пострадала. Симптомы перелома запястья руки, как правило, всегда яркие, клиническая картина патологии развивается стремительно и сразу после травмы.
Определить наличие перелома в области запястья можно по таким симптомам:
- возникновение болей;
- ограничение или полное отсутствие подвижности;
- появление отека;
- образование гематомы;
- деформация области запястья;
- ощутимый хруст.
Эти признаки чаще всего проявляются одновременно, однако первыми происходят резкие боли. Болевой синдром зачастую бывает сильным и может иррадиировать в кисть или предплечье (в случае поражения нервов). При попытках сжать руку в кулак или разогнуть её в тыльную сторону боль усиливается, а чаще всего ощущается в области большого и указательного пальцев, что соответствует расположению ладьевидной кости.
В процессе заживления перелома лучезапястного сустава одним из ключевых этапов является образование костной мозоли. Обычно этот процесс начинается в течение первых недель после перелома. В течение первых 1-2 недель может наблюдаться накопление коллагенообразующих клеток и образование грануляционной ткани, которая впоследствии превращается в хрящевую ткань.
На третьей-четвёртой неделе после травмы начинается активное образование костной мозоли, когда хрящ замещается костной тканью. Этот процесс может занимать около 6-8 недель, в зависимости от индивидуальных особенностей пациента, таких как возраст, общее состояние здоровья и наличие сопутствующих заболеваний. При необходимости рентгенологического контроля, можно заметить значительное уплотнение в области перелома, что свидетельствует о переходе к более глубоким стадиям заживления.
Полное восстановление структуры и функции лучезапястного сустава может занять более времени, иногда до нескольких месяцев. Однако костная мозоль будет максимально сформирована примерно к 10-12 неделям после перелома, что позволяет говорить о завершении остеогенеза и готовности к реабилитации. Важно отметить, что соблюдение рекомендаций врача и правильная терапия также могут значительно повлиять на скорость процесса заживления.
Травмирование мягких тканей и капилляров приводит к образованию жидкости в межтканевом пространстве и развитию отека. Если кровеносные капилляры и более крупные сосуды повреждены, может образоваться гематома — скапливание крови под кожей, иногда значительных размеров. Отек, гематома и выраженная боль заставляют пострадавшего беречь травмированную конечность и принимать удобное положение для уменьшения дискомфорта.
В случае закрытых переломов и наличия костных отломков, при движении в запястье можно услышать хруст — крепитацию, возникающую из-за трения фрагментов кости. Смещенные костные части также приводят к деформации запястья. Если наступила серьезная травма с разрывом кожи и смещением отломков, наблюдается кровотечение, а рана может иметь рваные края и быстро становиться инфицированной.

На рентгеновском снимке четко определяется линия перелома
Важно быстро установить все особенности травмы, так как это напрямую влияет на эффективность лечения, сроки восстановления и восстановление функций руки. Комплексная диагностика переломов в области лучезапястного сустава проводится в травматологических пунктах или стационарах.
Диагностика
При обращении за медицинской помощью, врач в первую очередь выясняет анамнез, уточняя обстоятельства травмы. Далее он оценивает жалобы пациента и проводит осмотр пораженной области. В большинстве случаев деформация запястья вызывает подозрения на перелом. Признаки, такие как боль и отечность, также могут свидетельствовать о наличии сильного ушиба.
Для дифференциации переломов запястья от других повреждений необходимо провести рентгенографию, которая доступна в большинстве медицинских учреждений. В случае возможности, предпочтительно выполнить компьютерную томографию.
Тем не менее, на рентгеновских снимках, полученных в разных проекциях, иногда не удается четко увидеть линию перелома, особенно если не наблюдается осколков. В таких ситуациях диагноз будет основываться на жалобах пациента и результатах осмотра, а лечение перелома ладьевидной кости или другой кости запястья начнется с наложения гипсовой повязки. Через три недели, когда начнется процесс консолидации отломков, следует повторное рентгенографическое исследование, которое обычно показывает более четкую линию перелома, подтверждающую правильность ранее установленного диагноза и эффективность лечения.

Холод помогает облегчить боль при переломе

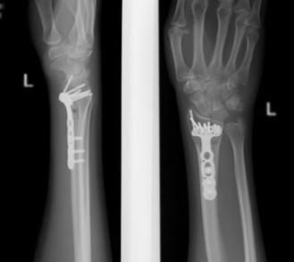
При значительном смещении отломков используется остеосинтез лучевой кости металлической пластиной, специально разработанной для данной области. После сопоставления отломков, пластина фиксируется винтами к поврежденной кости. После установки пластины, на кожу накладываются швы, также применяется гипсовая лонгета.
После хирургического вмешательства назначается медикаментозное лечение: включающие обезболивающие средства, препараты кальция для улучшения срастания кости, а при необходимости — местные препараты для уменьшения отечности. Средняя продолжительность пребывания в стационаре составляет 7 дней. Швы снимают через 2 недели на контрольном приеме у травматолога, тогда же пациенту могут отменить гипсовую повязку. Рука должна оставаться в приподнятом положении на косыночной повязке. Обычно не требуется удаление пластины.
Аппарат внешней фиксации
В некоторых случаях — например, у пожилых пациентов или при значительном отеке кисти и запястья — установка пластины может быть нежелательной по ряду причин (отек, состояние кожи). В таких ситуациях используется аппарат внешней фиксации, который соединяет отломки с помощью спиц, проходящих через кожу в кость. Этот аппарат выступает над кожей небольшим блоком (примерно 12 см в длину и 3 см в высоту). Преимуществом данного метода остеосинтеза является отсутствие необходимости в больших разрезах кожи, хотя требуется пристальное внимание к аппарату на протяжении всего периода его ношения — необходимо проводить перевязки, чтобы предотвратить воспаление спиц.
После операции рука 2 недели находится в гипсовой лонгете, затем пациент начинает разрабатывать лучезапястный сустав в аппарате, который этому не препятствует.
Аппарат внешней фиксации снимается примерно через 6 недель после рентген-контроля в условиях стационара. Перевязки проводятся через день в амбулаторных условиях. Рука должна оставаться в поднятом положении на косыночной повязке.
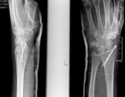
Фиксация спицами или винтами

При небольшом смещении отломков лучевая кость фиксируется при помощи спиц или винтов через маленькие проколы кожи. Согласно стандартному протоколу, гипсовая повязка накладывается на 2 недели, после чего пациент начинает rehabilitate his hand. Спустя 6 недель спицы удаляются.
В некоторых случаях возможно использование саморассасывающихся имплантатов (винтов, спиц), которые не требуют хирургического удаления.
Застарелые, неправильно сросшиеся переломы лучевой кости
При застарелых неправильно сросшихся переломах пациенты могут испытывать болевые ощущения, а также ограничения в движении — тугоподвижность сустава и другие дискомфортные симптомы (онемение и отечность пальцев). В таких случаях желательно провести хирургическое вмешательство, чаще всего с установкой пластины. Кость разобщается, правильно выравнивается и фиксируется. Если имеется дефицит костной ткани — например, при укорочении кости, ее заполняют либо пересадкой собственных костей, чаще всего из гребня подвздошной кости, либо искусственной костью, которая через 2 года перестраивается в собственную костную ткань.
Дальнейшее послеоперационное лечение при застарелых и неправильно сросшихся переломах лучевой кости аналогичны описанным ранее. Однако,может потребоваться более длительная реабилитация.
Анестезия при хирургическом лечении перелома дистального метаэпифиза лучевой кости
Для выполнения всех указанных выше операций, как правило, применяется проводниковая анестезия — затем анестетик вводится в зону плечевого сплетения, где располагаются нервы, отвечающие за чувствительность и движение верхней конечности, обеспечивая полной утрату чувствительности руки. Данная анестезия переносится достаточно легко и длится 4-6 часов. В действительности, это один из видов местной анестезии.
Кроме этого, проводится премедикация — успокаивающий укол перед операцией, и во время вмешательства пациент находится в состоянии сна. Возможно и применение общей анестезии. Окончательный выбор метода анестезии определяется анестезиологом накануне операции после общения с пациентом.
Мнение медиков
Врачи говорят о том, что пальцы шевелятся при переломе руки, но это действие сопровождается сильными резкими болями. Часто больные даже отказываются попытаться пошевелить пальцем, поскольку это вызывает настолько неприятные ощущения. Ваш лечащий врач точно скажет диагноз, поэтому сразу после того, как вы получили ушиб какой-то части тела, немедля обращайтесь к нему. Ни один медик не будет советовать вам заниматься самолечением, и не похвалит ваши попытки самостоятельно определить, что перед вами: перелом или же ушиб.
Вопрос о движении поврежденной конечности после срастания кости не имеет четкого ответа. После снятия гипса и шины необходимо заниматься восстановлением функционирования травмированной руки.
Избегайте резких движений, но физическая активность приветствуется — специальные занятия лечебной физкультуры рекомендуются врачами. Не стоит заниматься самолечением; программа должна разрабатываться врачом на основании вашей проблемы и индивидуальных характеристик. Зная особенности перелома, специалисты разрабатывают комплексное лечение, которое обязательно включает такие элементы, как массаж, физическая нагрузка, а также использование различных мазей.
Кости, подвергшиеся травме, могут срастаться довольно долго, и после этого часто возникают проблемы с функциональностью конечностей: может снижаться сила мышц, ухудшаться подвижность суставов и нарушаться обмен веществ. Чтобы восстановительный период проходил быстрее, важно обратить внимание на такие аспекты, как гимнастика, физическая терапия, массажа и применение восстановительных мазей и гелей. Повторный курс реабилитации можно проводить примерно через полгода после снятия гипса.
Опыт других людей
Анна, 32 года, медицинская сестра: «Когда у меня был перелом лучезапястного сустава, врач говорил, что костная мозоль начинает формироваться через 2-3 недели после травмы. Я регулярно приходила на осмотры, и через месяц уже заметила, что боли стали меньше, а рука начала функционировать лучше.»
Игорь, 45 лет, инженер: «Я долго мучился с переломом, когда упал с велосипеда. Врач объяснил, что костная мозоль у меня образовалась примерно через три недели. Это было важно для полной реабилитации, и в итоге я вернулся к привычной жизни довольно быстро.»
Мария, 28 лет, студентка: «У меня была травма на занятиях по гимнастике. Врачи сказали, что костная мозоль образуется примерно через 2-4 недели. Этот процесс действительно важен для восстановления, и через месяц я уже смогла делать легкие упражнения.»
